How to Use
Chairside Shade Guide 8.0 is grouped into 5 shade selection sections that help you better approach your patient cases. It is highly recommended that you wear protective gloves when using your Chairside Shade Guide 8.0 in order to preserve the aesthetics of your guide & avoid smudging and leaving fingertips on your shade guide.
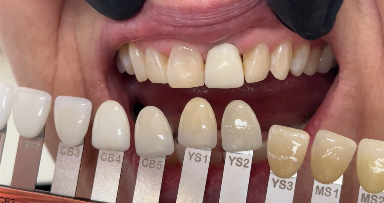
- CS (Celebrity Smile) Group: These tabs represent the most popular bleaching options that Luke Kahng has fabricated throughout his career and additionally contain extra attention to associated levels of translucency.
- YS (Youthful Smile) Group: These tabs contain unique white calcification for teeth commonly found in youthful patients’ mouths. These tabs are not available on any other shade matching tool on the market today.
- MS (Mature Smile) Group: These tabs contain the most popular dentin and enamel combinations.
- LS (Legacy Smiles) Group: These tabs are darker with the most deep dentin and translucency. LS7 represents color typical of teeth that have undergone repeated bleaching for an extended period of time.
- PT (Pink Tissue) Group: These tabs provide five different tissue color options including light and characteristics together. These tabs are not monolithic.
Care Instructions
- The Chairside Shade Guide 8.0 tabs should be cleaned after every use
- It is recommended to use Autoclave for sanitizing Chairside Shade Guide 8.0
- It is highly recommended that you sanitize the ceramic tabs and base unit separately
- It is not necessary to Autoclave the base unit, and the heat from an Autoclave can cause the copper on the base unit to fade over time if placed in Autoclave too often